Zahnarzt-Praxisgemeinschaft Henning Gröfke Dirk Niemeyer Dr.Frank Nöthling - Uelzen
  Über uns
Willkommen
Team
Philosophie
Qualität
Kontakt
Lageplan
Parken
Besonderes
3D-Röntgen
Kinder
Angstpatienten
Vollnarkose
Kiefergelenk
Mundgeruch
Schöne Zähne
Prophylaxe
Prophylaxe für Kinder
Zahnpflege
Veneers
Bleaching
Zahnschmuck
Gesunde Zähne
Karies
Füllungen
Wurzelbehandlung
Kronen
Metallfrei
Zahnfleischerkrankungen
Parodontaltherapie
Neue Zähne
Zahnersatz
Implantate
Brücken
Prothetik
Zahnarztpraxis Uelzen
 

Zahnfleisch

Das Zahnfleisch umgibt den Zahn wie eine Manschette. Es ist der sichtbare Teil des Zahnhalteapparates, durch den der Zahn im Knochen verankert ist.
Im Knochenfach ist der Zahn durch unzählige dünne Fasern, die im Knochen und an der Wurzel ansetzen, aufgehängt.

Die Gingivitis ist die einfachste Form der Zahnfleischentzündungen. Sie entsteht durch Ablagerung von Zahnbelag und Bakterien am Zahnfleischsaum und zeigt sich durch Zahnfleischbluten und Rötung. Eine Gingivitis heilt nach gründlicher Entfernung der harten und weichen Beläge in Rahmen einer professionellen Zahnreinigung von selbst aus.

Schaubild Aufbau Zahnhalteapparat

Wenn eine Zahnfleischentzündung über eine längere Zeit besteht, dringen die Bakterien immer tiefer in das Zahnfach vor. Außerdem kommen noch aggressivere Keime hinzu. Der Knochen wird angegriffen und geht verloren. Dadurch ist die Verankerung des Zahnes im Mund bedroht. Wenn das Zahnfach zu 2/3 abgebaut ist, wird der Zahn locker.

Das alles spielt sich im Verborgenen ab und bereitet über lange Zeit keine Beschwerden. Außerdem wird ein sichtbarer Zahnfleischrückgang häufig erst spät wahrgenommen, weil das Zahnfleisch durch die Entzündung anschwillt und den Rückgang so "maskiert". Ein frühes Anzeichen kann Zahnfleischbluten sein.
Erst bei einem fortgeschrittenen Knochenabbau treten Schmerzen auf und der Zahn wird locker. Oft fällt auch Mundgeruch auf.
Eine ausbleibende Behandlung der Erkrankung kann Zahnverlust zur Folge haben.

Man kann Parodontitis_behandeln. Je eher die Erkrankung erkannt wird um so besser ist der Erfolg. Bei der halbjährlichen Kontrolluntersuchung achten wir auf das Zahnfleisch.

Eine Erkrankung des Zahnhalteapparates hat nicht nur Auswirkungen auf den Halt der Zähne sondern auch auf die Gesundheit. Durch krankes Zahnfleisch und einen kranken Zahnhalteapparat dringen Keime in den Körper ein und können über den Blutweg auch an andere Stellen gelangen. Der Körper wird durch die bestehende Entzündung stark beeinflusst:

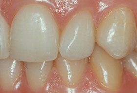
gesundes Zahnfleisch
gesundes Zahnfleisch
ist hellrosa, straff und blutet nicht

Es gibt Risikofaktoren, die das Erkrankungsrisiko erhöhen oder die Schwere der Erkrankung beeinflussen.
Bei Diabetikern mit schlechter Blutzucker-Einstellung ist das Risiko dreimal so hoch wie bei einem Gesunden oder einem Diabetiker mit gut eingestelltem Blutzucker.
Rauchen führt zu einem bis zu 12fach erhöhtem Erkrankungsrisiko. Hier ist besonders tückisch, dass durch die verringerte Durchblutung des Zahnfleisches die typischen Entzündungszeichen wie Zahnfleischbluten und Rötung) noch später wahrgenommen werden.
Es gibt unterschiedlich empfindliche Zahnfleischgewebe. Wenn man ein anfälliges Zahnfleisch besitzt, baut sich schon in kurzer Zeit sehr viel Knochen ab.

krankes Zahnfleisch
krankes Zahnfleisch
ist gerötet, geschwollen und blutet

 

Durch eine intensive tägliche Zahnpflege kann man einer Parodontalerkrankung vorbeugen. Dabei ist es besonders wichtig alle Nischen besonders auch zwischen den Zähnen zu reinigen. Hierbei helfen Ihnen unsere Zahnpflegetipps.

Am Zahnfleisch entstehen durch Piercings Druckstellen die zum Zahnfleischrückgang und zu freiliegenden Zahnhälsen führen. Diese erkranken leichter an Karies und sind heiß- und kaltempfindlich. Am Zahn entstehen durch Piercings Abplatzungen, Mikrorisse und Frakturen.
Der Druck des Piercings auf den Zahn führt auch häufig zu Zahnbewegungen, Lockerungen und Verschiebungen.

Bitte sprechen Sie uns an. Wir beraten Sie gerne.

diese Seite drucken

Weiter zur Parodontaltherapie

 


Zahnärzte
Dirk Niemeyer,
Nigina Ansari
& Matthias Gerson


Veerßer Straße 41
29525 Uelzen
Fon 0581 75 220
Fax 0581 14 385


überörtliche Praxisgemeinschaft mit

Henning Gröfke

Veerßer Straße 30

29525 Uelzen
Fon 0581 444 11
Fax 0581 44 157


www.tagesklinik-fuer-implantologie.de

Tätigkeitsschwerpunkte
Dirk Niemeyer

Parodontologie

ästhetische Zahnheilkunde

Prophylaxe (Vorsorge)



Behandlungszeiten
Mo  8.oo - 17.oo Uhr
Di  8.oo - 17.oo Uhr
Mi  8.oo - 14.oo Uhr
Do  8.oo - 17.oo Uhr
Fr  8.oo - 12.oo Uhr
und nach Vereinbarung


jüngste Aktualisierung 09.11.2023